Salute e benessere

Nuovo metodo consentirebbe di diagnosticare precocemente l'Alzheimer attraverso risonanza magnetica

alt_text
23 Ottobre 2024

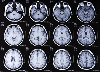
Diagnosticare il morbo di Alzheimer attraverso una semplice scansione cerebrale. Il nuovo metodo, sviluppato dagli scienziati dell'Imperial College di Londra, è stato appena descritto in una pubblicazione sulla rivista Nature Communications Medicine. La tecnica, sviluppata da Eric Aboagye e dal suo team, ha utilizzato la tecnologia di apprendimento automatico che ha permesso agli scienziati di esaminare le caratteristiche strutturali del cervello, inclusa l'analisi di regioni dell'organo che non erano associate all'Alzheimer. 

Un algoritmo sviluppato per l'uso nella classificazione dei tumori è stato adattato dai ricercatori, che hanno immaginato una divisione del cervello in 115 regioni, contenenti 660 diverse caratteristiche. Gli scienziati hanno poi addestrato l'algoritmo per identificare come possibili cambiamenti nelle caratteristiche di ciascuna delle regioni potrebbero prevedere l'insorgenza di sintomi compatibili con l'Alzheimer.
Il team ha utilizzato i dati dell'Alzheimer's Disease Neuroimaging Initiative per testare il proprio approccio sulle scansioni di oltre 400 pazienti. Il test è stato in grado di prevedere il rischio di Alzheimer con un tasso di accuratezza del 98%, secondo la pubblicazione. Inoltre, l'algoritmo è stato in grado di distinguere, nel 79% dei campioni, tra la malattia in fase iniziale e la condizione già avanzata.

Il nuovo approccio sviluppato dai ricercatori consentirebbe, dunque, di diagnosticare precocemente l'Alzheimer attraverso una semplice risonanza magnetica cerebrale (MRI) eseguita su una macchina standard. Attualmente, non esiste una cura per il morbo di Alzheimer, ma una diagnosi in fase iniziale consentirebbe ai pazienti di avere accesso a un trattamento più precoce e quindi più efficace.
"La nostra ricerca rappresenta un significativo passo in avanti che potrebbe semplificare il processo di diagnosi. Se riuscissimo a ridurre le tempistiche di attesa, potremmo aiutare moltissime persone a individuare il percorso di trattamento più efficace. Continueremo a valutare questo metodo, che sembra molto promettente", commenta Eric Aboagye.

Diagnosticare il morbo di Alzheimer attraverso una semplice scansione cerebrale. Il nuovo metodo, sviluppato dagli scienziati dell'Imperial College di Londra, è stato appena descritto in una pubblicazione sulla rivista Nature Communications Medicine. La tecnica, sviluppata da Eric Aboagye e dal suo team, ha utilizzato la tecnologia di apprendimento automatico che ha permesso agli scienziati di esaminare le caratteristiche strutturali del cervello, inclusa l'analisi di regioni dell'organo che non erano associate all'Alzheimer. 

Un algoritmo sviluppato per l'uso nella classificazione dei tumori è stato adattato dai ricercatori, che hanno immaginato una divisione del cervello in 115 regioni, contenenti 660 diverse caratteristiche. Gli scienziati hanno poi addestrato l'algoritmo per identificare come possibili cambiamenti nelle caratteristiche di ciascuna delle regioni potrebbero prevedere l'insorgenza di sintomi compatibili con l'Alzheimer.
Il team ha utilizzato i dati dell'Alzheimer's Disease Neuroimaging Initiative per testare il proprio approccio sulle scansioni di oltre 400 pazienti. Il test è stato in grado di prevedere il rischio di Alzheimer con un tasso di accuratezza del 98%, secondo la pubblicazione. Inoltre, l'algoritmo è stato in grado di distinguere, nel 79% dei campioni, tra la malattia in fase iniziale e la condizione già avanzata.

Il nuovo approccio sviluppato dai ricercatori consentirebbe, dunque, di diagnosticare precocemente l'Alzheimer attraverso una semplice risonanza magnetica cerebrale (MRI) eseguita su una macchina standard. Attualmente, non esiste una cura per il morbo di Alzheimer, ma una diagnosi in fase iniziale consentirebbe ai pazienti di avere accesso a un trattamento più precoce e quindi più efficace.
"La nostra ricerca rappresenta un significativo passo in avanti che potrebbe semplificare il processo di diagnosi. Se riuscissimo a ridurre le tempistiche di attesa, potremmo aiutare moltissime persone a individuare il percorso di trattamento più efficace. Continueremo a valutare questo metodo, che sembra molto promettente", commenta Eric Aboagye.

Case di riposo, rsa e case famiglia